【印刷可能】 自宅 ホワイトニング 効果あり 261737-自宅 ホワイトニング 効果あり
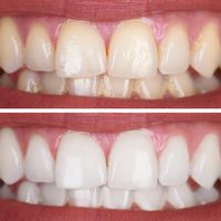
ホームホワイトニングとは、自宅でホワイトニングをすることです。 マウスピースとホワイトニング剤(ホワイトニングジェル)を使って歯を白くしていきます。 やり方 歯医者さんでマウスピースを作る;1回45分程度の治療でホワイトニング効果が確認できます (定着するには3回ほど治療する必要があります) 痛み 自宅ホワイトニングは器具が合わずに痛みが伴う場合がある ほとんど痛みはない。 ※人により痛くなる方もいます。ルマ ホワイトニングと同程度の効果があります。 上下12本 1回 15,000円(税込 16,500円) 上下16本 1回 ,000円(税込 22,000円) 所要時間 約40分 施術前 施術後 ※マイルドホワイトニングの効果には個人差があります。
自宅でのホワイトニングでも歯は白くなる 気になる効果や注意点を紹介 Sillha シルハ お口を10秒すすぐだけ 口内環境が分かる唾液検査
自宅 ホワイトニング 効果あり
自宅 ホワイトニング 効果あり-自宅でできるLEDホワイトニングに使われるホワイトニングジェルには、 酸化チタン という成分が含まれています。 酸化チタンは、 ホワイトチョコレートやチーズなどに 食品添加物 として使われる こともあり、 安全性が高い成分 と言えます。(※ 効果 LED ホワイトニングジェル 歯磨き による。 ホワイトニング 期間 ホワイトニング 効果 に個人差あり) 11しかも専用の ホワイトニング ジェル は大容量480ml(1mlボトル4本)だから1~0回も セルフ ホワイトニング が 自宅 家 でできる!



歯医者もおすすめ ホームホワイトニングの効果 価格 注意点
1、自宅で手軽にホワイトニングができます 読書中や入浴中、就寝中など自分の好きな時に好きなペースで歯を白くすることができます。 2、マウスピースは繰り返し使用が可能です ホワイトニング後にマウスピースを保管しておけばメンテナンスにも これらは基本的に表面の汚れを取るための洗剤ですのでプロのホワイトニングのよう な漂泊効果はありません。 セルフホワイトニングの効果 漂泊効果はありませんが 歯の表面の汚れをある程度は落とすことはできるの で何となく白くなったと感じることはできると思います。そのため、痛みが少ない・飲食制限が必要ないという特徴の他、白さの持続も期待出来るホワイトニングの方法とされています。 これらの利点から、当院でも過酸化水素と分割ポリリン酸を同時使用した 「ポリリンホワイトニング」 施術を導入しています。 分割ポリリン酸®(EXポリリン酸®)は、歯面の汚れを落とす・汚れがつかないようにする、白さを増す
ホワイトニング効果を謳う歯磨き粉を使えば、本当に歯が白くなるのですか? 小川先生 結論から言うと、歯が白くなる歯磨き粉はあります。 ホワイトニング効果を謳う歯磨き粉には大きく分けて2種類あり、ひとつは 研磨剤が主成分の歯磨き粉 です 歯磨き粉を使ったホワイトニングは自宅で、しかも普段通り歯磨きするだけで歯を白くできるため 非常に人気 があります 一般的な歯磨き粉だと発泡剤が含まれており、成分にもそこまでこだわって作られていませんが、ホワイトニング効果が期待できる歯磨き粉は値段がやや高いものの虫歯・歯周病予防効果あり ! 「ご自宅」で行う ホワイトニング ご自宅でご 自身のペース で 歯を白くする! ホワイトニングのプロ 「ホワイトニング コーディネーター」 ホワイトニングのプロ 「 ホワイトニングコーディネーター 」が在籍 歯科医院での
(※ 効果 LED ホワイトニングジェル 歯磨き による。 ホワイトニング 期間 ホワイトニング 効果 に個人差あり) 11しかも専用の ホワイトニング ジェル は大容量840ml(1mlボトル7本)だから210~350回も セルフ ホワイトニング が 自宅 家 でできる! 自宅でのセルフホワイトニングの効果 ホワイトニング用の歯磨き粉で元の歯の白さに戻すには、おおよそ 数週間から数ヶ月など長期的に、毎日続ける 必要があります。 ただ、茶渋やタバコのヤニが原因の黄ばみであれば、1回のホワイトニングで効果を ・ホームホワイトニングのメリット L何度もメンテナンスができる L費用対効果でみればホームホワイトニング L自然な白さになるのはホームホワイトニング L知覚過敏になりにくい ・ホームホワイトニングのデメリット L効果が出るまで時間がかかる



人気の歯のホワイトニンググッズおすすめ25選 歯科医に聞いたアイテムの選び方も Ozmall



ホワイトニング効果を謳う歯磨き粉には効果があるの 名古屋名駅アール歯科 矯正歯科 名古屋の矯正インプラント審美歯科
ホワイトニング初心者に向いています クリニックへ行くのは敷居が高いけど、 自宅にいたままセルフで出来る のはだいぶ気が楽でした。 あなたにも一度、自分の歯が白くなる実感をしてもらいたいです。



写真あり スターホワイトニング体験談 気になる費用や効果は



自宅で行うホワイトニング5選とその効果まとめ 歯科衛生士がお口の悩みに答えます



ホワイトニング治療 デントレード



泉佐野市 歯医者 中井歯科医院 医院案内



ホワイトニング 田端の歯医者なら しおばら歯科医院 痛くない 怖くない歯医者です



ホワイトニング 診療内容 寒竹歯科医院 稲毛海岸駅徒歩1分 土日も診療



ホワイトニング



審美歯科のホームホワイトニングの効果は シティリビングweb



ホームホワイトニングって何 どんな効果があるの 自分の歯でずっと食べる為のホワイトニング手帖



おすすめのledホワイトニングって 人気商品14選を紹介 自分らしい便利な暮らしを トラベルブック Travelbook



審美歯科について ヨシエ歯科医院



ホームホワイトニング 効果あり



歯のホワイトニングで白くならない場合の対処法教えます



診療科目 ホワイトニング ゆうがお歯科総合サイト



ホワイトニングってどれくらい効果があるの 自分の歯でずっと食べる為のホワイトニング手帖



Paypayフリマ ライトを使わず最高級のホワイトニング効果 高品質35 ホワイトニングジェル 自宅で綺麗な白い歯に オーラルケアジェル



ホームホワイトニングの効果 私のホワイトング体験記 奈良市学園前駅の矯正歯科なら美希デンタルクリニック



O2hpvkndm3yxnm



ホワイトスポット



ホームホワイトニング 効果なし



Tion ホームホワイトニング プラチナ 武蔵新城駅近の歯医者 武蔵新城たいなか歯科医院



楽天市場 ホワイトニング 自宅で歯を白くする活性炭 大容量60g Hsnt



ホワイトニング ノーブルデンタルクリニック仙台 仙台駅東口



証拠画像あり ホワイトエッセンス で10ヶ月間ホームホワイトニングした効果と費用 可愛いおばちゃんになりたい



ホワイトニングマニアおすすめの歯磨き粉4選 白い歯は海外旅行先で Classy クラッシィ



ホームホワイトニング 人気記事 一般 アメーバブログ アメブロ



ホームホワイトニング 東京都昭島市の拝島駅徒歩10分の歯医者 みまや歯科クリニック



ホワイトニング 北九州市小倉北区のはしもと歯科クリニック



自宅でホワイトニング 効果があるものは ランキング 1ページ gランキング



宮崎市でホワイトニングがしたい 安い料金でしたい いわきり歯科 宮崎市吉村町の歯医者さん



ホワイトニング 治療について 世田谷区 駒沢大学の歯医者 自由通り歯科医院 駅徒歩1分



ホームホワイトニング 効果なし



検証 セルフホワイトニングって効果あるの ドクター芸人が1週間検証 Youtube



ホワイトニング 1週間試してみた 効果はあるのか レビュー Youtube



必ず白くなる ホワイトニング症例 ユアーズデンタルクリニック



スタッフが実践 加工なし ホームホワイトニングの効果



やればやるほど効果あり セルフホワイトニングサロン浜松店 静岡浜松のセルフホワイトニングサロン



ホームホワイトニング 自宅で簡単 寝ながら歯のホワイトニング



ホームホワイトニング 南青山矯正歯科 審美歯科



西宮市でホワイトニングは さくら夙川駅前おきた歯科



歯医者もおすすめ ホームホワイトニングの効果 価格 注意点



おうちでの時間が増えているこの時だから ホームホワイトニングをじっくりと ブログ



ホームホワイトニングのご案内 スマイル歯科 石川県小松市 矯正 インプラント 審美 ホワイトニング



日本未上陸 第一印象は歯 効果抜群 最強セルフホワイトニングのご紹介 Agecode



Led歯ブラシとは ホワイトニング効果と仕組み おすすめ市販品を紹介 公式 歯のホワイトニング専門店whiteningbar



自宅でのホームホワイトニングの流れとマウスピースのトラブルや疑問



コラム ホワイトニングの効果がでにくい歯 5選 渋谷の歯科 総合医療 徳真会クオーツタワー Quartz Tower



ホームホワイトニング 効果ない



自宅でのホワイトニングでも歯は白くなる 気になる効果や注意点を紹介 Sillha シルハ お口を10秒すすぐだけ 口内環境が分かる唾液検査



オフィスホワイトニングとセルフホワイトニングの違い ホワイトニングサロン福岡天神店 格安3回4 980円 歯のホワイトニング専門店



ホームホワイトニング 効果



ホームホワイトニング 自宅で簡単 寝ながら歯のホワイトニング



レベルアップ さらに効果を引き立てるホームホワイトニング方法とは



21年 市販ホワイトニンググッズのおすすめ人気ランキング10選 Mybest



Q Tbn And9gcss8 Ia2iqummtygf5x0z Uwxyhjxtbiuub4 G9jr Ksu3tchw4 Usqp Cau



ホワイトニング効果 人気記事 一般 アメーバブログ アメブロ



ホワイトニング 歯 活性炭 自宅 セルフ 60g Pw001 Hsネット 通販 Yahoo ショッピング



Amazon ホーム ホワイトニング 口コミno 1 ホワイトニング 歯磨き 歯みがき用 ジェル ボタルシア Botalucia ボタルシア ホワイトニング 通販



ホームホワイトニング 助光デンタルクリニック ブログ



ホームホワイトニング効果 時間は ホワイトニングサロン福岡天神店 格安3回4 980円 歯のホワイトニング専門店



自宅で行うホームホワイトニングのやり方について パールホワイトプロexは歯が白くならない ホワイトニングの効果 口コミを検証



Q Tbn And9gcqefwlaao4zmw7w7wfq Crkpbpbjgj6 Kpwbft7pzmsuwdj36c Usqp Cau



q ホワイトニングにかかる時間や回数は ホワイトニングのホワイトホワイト 東京



歯のホワイトニングって本当に効果ある 人によって白くならない 衝撃の事実 が判明 記事詳細 Infoseekニュース



ホワイトニングの種類 効果を長持ちさせる方法 セルフケアにおすすめなアイテムも Domani



自宅でホワイトニング1ヶ月続けた結果 歯がメッチャ白くなった ホームホワイトニング オフィスホワイトニング ホワイトエッセンス Youtube



ホームホワイトニングの効果発表 3ヶ月で8トーンアップしました



ホワイトニング 岡崎市 歯科 小川歯科医院 岡崎市の皆様へ最高の歯科治療を



自宅でお気軽ホワイトニング 水戸市にある歯医者 フカヤ歯科クリニック



オフィス ホーム ホワイトニングってどっちの方が歯が白くなるの 両方やり比べて検証してみた Ayakoのぶっちゃけ美容会議



必ず白くなる ホワイトニング症例 ユアーズデンタルクリニック



東京の矯正歯科 高輪矯正歯科医院 ホームホワイトニング 時間 東京都港区



歯のホワイトニング 匠歯科 矯正歯科 広島市中区の歯医者



Q Tbn And9gcrsi5e9f 6rnjxixu8kq3qy4folkvvlogqd0rg666a Pfqofa3u Usqp Cau



1



福岡さくら歯科 博多駅より徒歩5分の歯医者 ホワイトニング



写真付きレポ オフィス ホームホワイトニングのw効果が絶大 湘南歯科クリニック Step Up Everyday



必見 汚い歯とおさらば 芸能人愛用のホームホワイトニングの効果が超すごい Hashmag



ホームホワイトニング tion 真宮歯科医院



楽天市場 クーポンで7 Off 七夕限定 有吉ジャポンにて紹介 公式認定ストア 歯のホワイトニング 自宅で簡単 Ledライト ホームホワイトニング マウスピース ドクターホワイト 約15回 溶剤ジェルセット セルフホワイトニング 日本製 レビューを書いて補充溶剤 1



ホームホワイトニングの実際



審美歯科 玉川学園の町田メアリー歯科 歯周病専門医 町田メアリー歯科



診療内容 マサミ歯科医院 小児歯科 ホワイトニング



ホームホワイトニング 武蔵新城駅近の歯医者 武蔵新城たいなか歯科医院



おすすめな自宅でできる歯のホワイトニング 人気商品15選 自分らしい便利な暮らしを トラベルブック Travelbook



日本人の黄色い歯へアメリカン歯磨き粉 自宅で効果のあったホワイトニング方法 ザ シークレットビューティー



ホワイトニング 治療メニュー 医療法人社団 ヨシノデンタルクリニック 仙台市青葉区の歯医者 歯科医院



ホームホワイトニング 院長blog



ホワイトニング 交野市の歯医者さん 奥田歯科医院



ホワイトニング 高尾歯科 千葉県 佐倉市 歯科 矯正歯科 小児歯科 審美歯科 予防歯科 インプラント



ホームホワイトニングのご案内 スマイル歯科 石川県小松市 矯正 インプラント 審美 ホワイトニング



最大の漂白効果が得られるホワイトニング3つの秘訣 後半 歯科医院経営講座 次のステップを目指す歯科医師のために



歯科衛生士が解説 オフィスホワイトニングの全て 効果 値段 正しい頻度と間隔 家で働く歯科衛生士



ホワイトニング症例 お知らせ 医療法人 延歯会 延藤歯科 予防治療と定期検診 むし歯治療 審美歯科 インプラント 歯周治療 矯正 メインテナンス



ホワイトニング イノマタデンタルクリニック



ホームホワイトニングの効果の目安 豊中市 ますだ歯科医院



楽天ランキング1位 最大円還元 7590円割引 ゲル4本 レビューで歯ブラシ 2 23 火 10 00 23 59 歯 ホワイトニング セルフ 自宅 Led ライト ホームホワイトニング 楽天1位 Indiragandhiuniversity In



ホワイトニング 小岩の歯科医院 かわはら歯科クリニック 江戸川区



比較画像あり ホームホワイトニングの効果は 1 2週間の歯の変化と気づき 可愛いおばちゃんになりたい



ホームホワイトニングはジェル派 シール派 徹底比較レビュー Oz Journal



審美歯科 ホワイトニング 酒井歯科 有楽町駅 銀座一丁目駅 徒歩1分の歯医者



ホームホワイトニング 効果 ブログ

コメント
コメントを投稿